• Products
    • Q7
    • D8
    • F6
    • F6 Vet veterinary use
    • Z3
    • Accessories
  • Specialties
    • Emergency medicine
    • Anesthesia
    • Critical care
    • Nephrology
    • MSK
    • Obstetrics
    • Pain management
    • Breast & Thyroid Surgery
    • Pediatrics
    • Primary care
  • Technology
  • Resource
    • APP download
    • Quick operation manual
    • Operation video
    • Files Download
  • About
  • Contact
ꀅ English
  • 中文
  • English

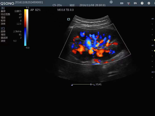
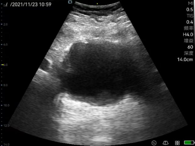
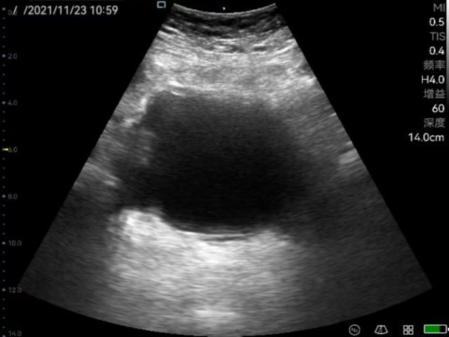
Nephrology

 

There are many kinds of kidney diseases, and the etiology and pathogenesis are complex. The clinical manifestations of many kidney diseases are not completely consistent with the histological changes of the kidneys, so the treatment and the development of the disease are also very different. At present, non-invasive examinations of blood, urine and imaging in clinical practice cannot make early diagnosis and accurate assessment of renal function and pathological changes. Compared with imaging such as X-ray and CT, ultrasound has the advantages of small size, easy to carry, and no radiation pollution, reusability etc.

The practical application of P50 in nephrology

 

Sensitive color blood flow and precise calculation package allows doctors to make accurate assessment of the patient's condition.

Applications

 

1. Ultrasound-guided percutaneous biopsy of renal disease; 2. The assessment of arteriovenous fistulas by ultrasound; 3. Access blood volume during dialysis; 4. Ultrasound-guided arteriovenous puncture; 5. The surveillance after renal artery reconstruction and endovascular angioplasty; 6. Renal artery stenosis and congenital dysplasia; 7. Intrarenal arteriovenous fistula; 8. The Nutcracker phenomenon; 9. Venous disease etc.

Instagram
LinkedIn
YouTube
X
Facebook

Address: 6th F, Block B, No. 1 Building, B1 Area, Hantian Tech City, Nanhai District, Foshan City, Guangdong, China

Telephone: 86-757-86258600     Customer Service: 400 840 8600     Email: info@youkeymedical.com

Copyright ©  Youkey Medical 

Legal notice    |   Privacy notice    |   Terms of use

 本网站由阿里云提供云计算及安全服务
本网站支持 IPv6
 本网站由阿里云提供云计算及安全服务
本网站支持 IPv6
 本网站由阿里云提供云计算及安全服务
本网站支持 IPv6
 本网站由阿里云提供云计算及安全服务
本网站支持 IPv6