• Products
    • Q7
    • D8
    • F6
    • F6 Vet veterinary use
    • Z3
    • Accessories
  • Specialties
    • Emergency medicine
    • Anesthesia
    • Critical care
    • Nephrology
    • MSK
    • Obstetrics
    • Pain management
    • Breast & Thyroid Surgery
    • Pediatrics
    • Primary care
  • Technology
  • Resource
    • APP download
    • Quick operation manual
    • Operation video
    • Files Download
  • About
  • Contact
ꀅ English
  • 中文
  • English

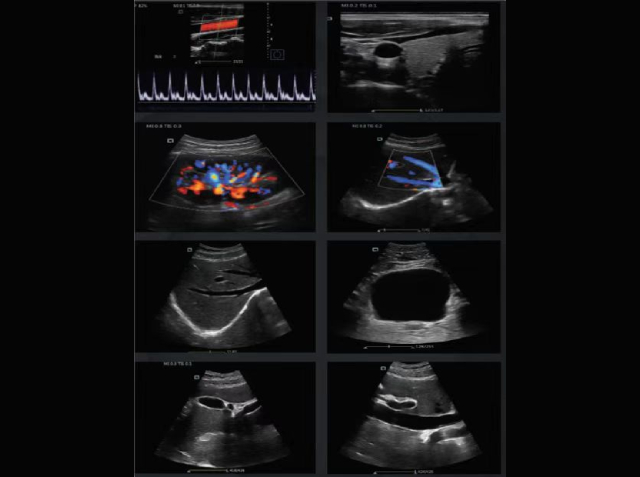
The practical application of P50 in critical care

 

Taking a patient who had coronary artery bypass grafting and prosthetic mitral valve replacement five days later as an example, it can be clearly seen that the patient's mitral valve opens and closes freely, and the cardiac contraction is enhanced. The image below is an ultrasound image in color Doppler mode.

To view this video please enable JavaScript, and consider upgrading to a web browser that

视频播放失败,请稍后重试

To view this video please enable JavaScript, and consider upgrading to a web browser that

视频播放失败,请稍后重试

Critical care

 

Critical care ultrasonography is a combination of some rapid examination programs, which can perform urgent diagnostic evaluation and can be combined with treatment decisions to effectively improve clinical decision-making.

 

Ultrasound is now clinically known as “visible stethoscope” as a monitoring and rapid assessment tool for emergency and ICU doctors. Due to the dynamic, real-time and repeatable characteristics of ultrasound, it can not only be used for disease assessment, but also can be dynamically monitored for critically ill patients and provide timely and accurate guidance for treatment.

Applications

 

Brain, airway, lung, heart, liver, gallbladder, pancreas, spleen, kidney and bladder, ectopic pregnancy, extended trauma ultrasound assessment process, gastrointestinal dynamics, gut, abdominal aorta ultrasound, lower limbs deep vein thrombosis, ultrasound-guided vascular puncture.

Instagram
LinkedIn
YouTube
X
Facebook

Address: 6th F, Block B, No. 1 Building, B1 Area, Hantian Tech City, Nanhai District, Foshan City, Guangdong, China

Telephone: 86-757-86258600     Customer Service: 400 840 8600     Email: info@youkeymedical.com

Copyright ©  Youkey Medical 

Legal notice    |   Privacy notice    |   Terms of use

 本网站由阿里云提供云计算及安全服务
本网站支持 IPv6
 本网站由阿里云提供云计算及安全服务
本网站支持 IPv6
 本网站由阿里云提供云计算及安全服务
本网站支持 IPv6
 本网站由阿里云提供云计算及安全服务
本网站支持 IPv6